歯科矯正
歯科矯正歯科とは?
歯科矯正治療とは、歯やあごの骨に力をかけてそれらをゆっくりと動かすことで、悪い歯並びや咬み合わせ(不正咬合)を整え、正しく機能的な咬み合わせ(正常咬合)を獲得し、さらにはバランスのとれた口元を作り出す治療です。
- 食べ物が噛みくい
- 呼吸や発音がしにくい
- 丁寧に歯磨きしても、虫歯や口臭がある
- 口元・顔立ちが歪んでいる
これらの症状が気になる方は、歯並びが原因の場合があります。
当院では成人の矯正治療(永久歯列完成後、本格矯正治療)に対応しています。
治療の進め方
- 初診相談
- お悩みやご希望をお伺いし、歯列矯正治療についてご説明いたします。 おおまかな治療期間や費用、治療内容等も併せてご説明いたします。
- 機能検査(適宜)
-
矯正治療基本検査
顔面・口腔内写真撮影、エックス線写真撮影、歯型の採取など、診断や治療計画立案に必要な基本検査です。
機能検査
顎運動および筋電図検査、三次元顎運動計測、咬合面圧分布検査、鼻腔通気道抵抗検査などの機能評価を行います。
その他検査
必要に応じてCT撮影等を追加します。
- 診断・治療方針説明
-
精密検査の結果をもとに、患者さん個人に最も適した矯正治療計画を提示いたします。
説明について不明な点や心配な点についてはご遠慮なくご相談ください。
治療方法、スケジュール、治療費等についてもご説明いたします。 - 治療開始
- 矯正治療を開始します。矯正装置装着後は約4週間に1度の間隔で来院していただきます。歯の移動状態、装置の使用状況を確認しながら、矯正装置の調整を行います。また、矯正治療中はブラッシングが難しくなります。歯科衛生士によるブラッシング指導や機械を使用した口腔内清掃なども行います。なお、矯正治療を始める前に、むし歯治療や歯周病基本治療を終えている必要があります。
- メンテナンス・保定
- 予定通りの歯並びとなり咬み合わせ整ったら矯正装置を撤去します。
歯並びが安定するまで保定装置を使用し、後戻りを防止します。保定期間中は定期検診を行い、咬み合わせの変化などをチェックします。同時にむし歯や歯周組織の状態を診査し、ブラッシング指導や機械による口腔内のクリーニングなども行います。
お口の健康状態を長く維持できるように、定期的なメンテナンスをご案内しています。
通院回数・期間
症状によって異なります。
参考として一般的な期間はマルチブラケット装置の装着期間では、おおよそ2年~3年です。それよりも短くなることも長くなることもあり得ます。マルチブラケット装置による本格矯正治療後、治療後のきれいな歯並びを維持安定させる治療(保定治療)に入り保定装置を使用していただきますが、その期間はおおよそ5年です。
費用
| 施術名 | 内容 | 金額(税込) |
|---|---|---|
| 成人の歯列矯正 | 検査料 | 44,000円 |
| 本格矯正治療 | 660,000円 | |
| 調整料 | 5,500円 | |
| 便宜抜歯(1本) | 5,500円 |
リスクと副作用
歯列矯正治療には以下の一般的なリスク・副作用があることをご理解ください。※すべてのリスクや副作用が生じるわけではありません。
- 矯正装置の装着後及び着脱動作中に、歯肉、舌、頬及び唇に、擦り傷又は痛みが生じる場合があります。
- 矯正治療開始直後及び途中に歯の圧痛を経験する場合があります。
- 矯正装置の装着が、一定期間、患者さんの発語に影響を与える場合があります。
- 治療過程のいずれかにおいて、咬合状態が変化し、患者様によっては一定期間、不快感を感じる場合があります。
- 矯正装置の使用により、頭頸部の関節及び筋肉、耳それぞれにおいて障害(運動、感覚、疼痛)が生じる場合があります。
- 治療中、歯の変色及び着色が生じる可能性があります。
- 矯正装置を使用した治療完了後、歯の位置が移動する場合があります。
- 非常にまれですが、歯の移動に伴い歯髄壊死(歯の神経が死ぬ)が起こることがあります。
- 治療において予想される危険性・合併症の全てを把握すること、また全てを記載することはできません。記載していない合併症が起きることがあることをご理解ください。
※治療期間中は、虫歯や歯周病への対策を積極的に行う必要があります。
※矯正治療を中断した場合でも、治療前の状態に戻すことはできません。
※効果には個人差があります。
※自由診療となります。 ご不明な点があれば歯科医師にご相談ください。
症例紹介
上顎前歯部の部分矯正
術前・術後の比較
| 術前 | 術後 |
|---|---|
![]() ![]() |
![]() ![]() |
治療の経過を表示する
-
患者の方は親知らずの痛みがあり当院にお越しになりました。幼少期から歯医者が苦手で、痛みがあってもなかなか行く勇気がでなかったそうです。笑気鎮静法を併用しながら、右下の親知らずを抜歯しました。
2024.6.25パノラマレントゲン写真 
-
親知らずの痛みがなくなった患者さんは、昔から歯並びが気になっていることを打ち明けてくれました。特に上の歯が少し前に出ていたり、隙間があったりしている点を治したいそうです。そこで、まず上の歯並びの矯正治療を開始しました。
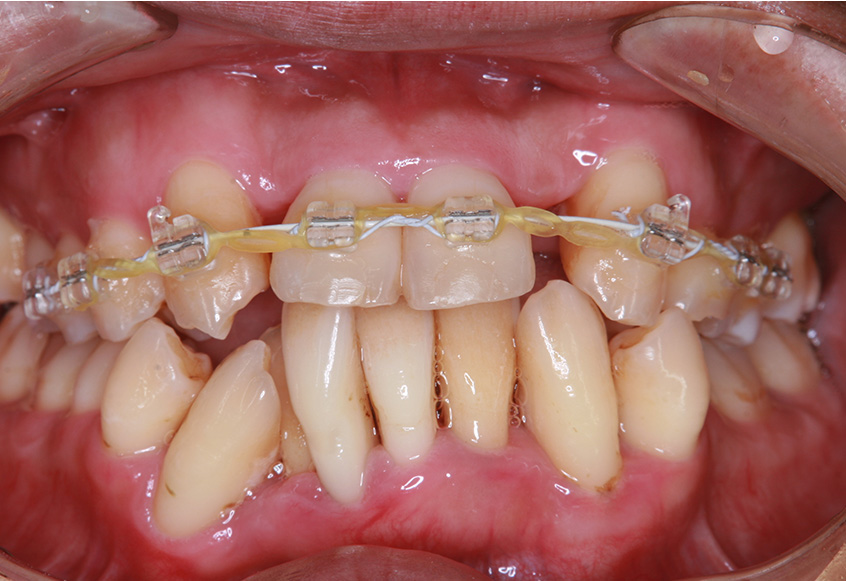
最初のお口の中 ワイヤー装着して治療を開始 



-
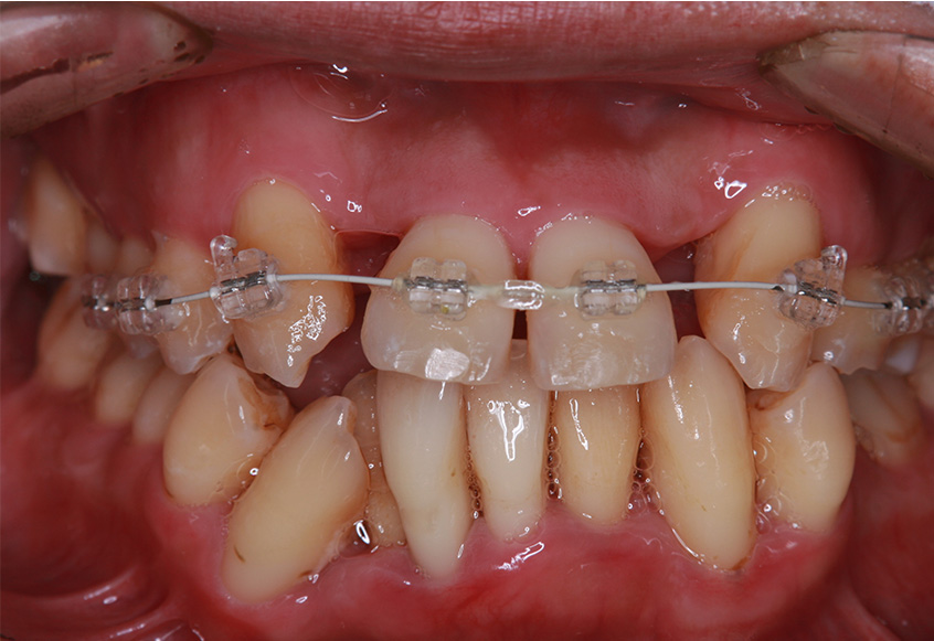
治療開始後3ヵ月経過すると、前歯の隙間や全体の乱れが減ってきました。口笛が吹けるようになったとのことです。
最初のお口の中 治療開始3ヵ月後 



-
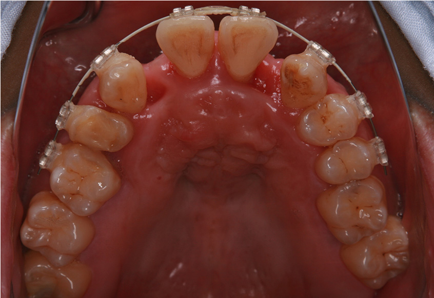
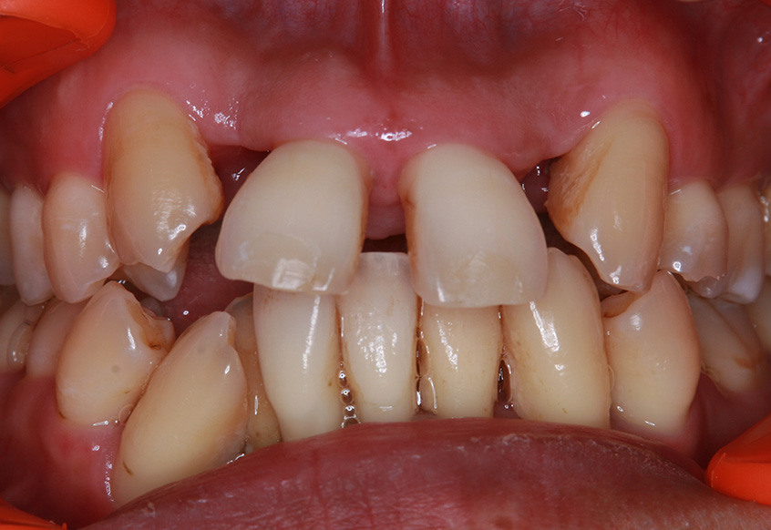
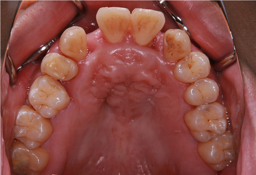
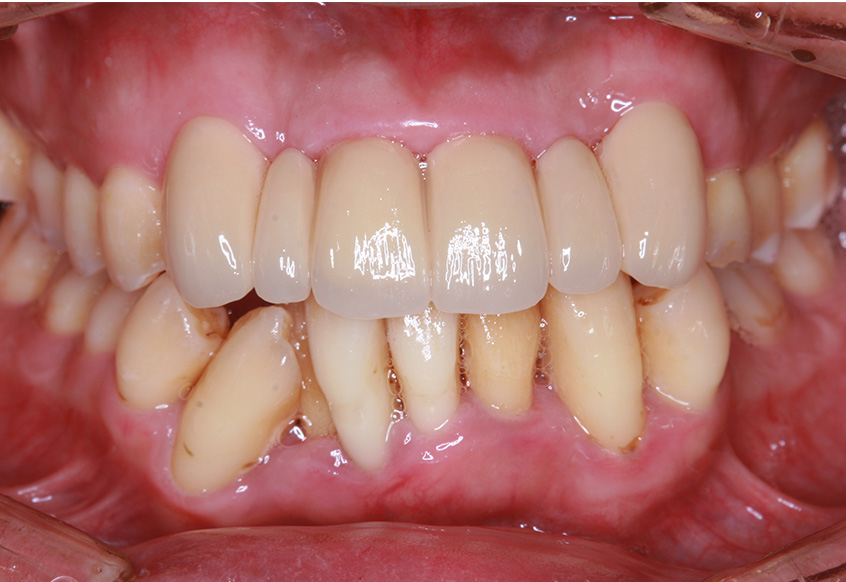
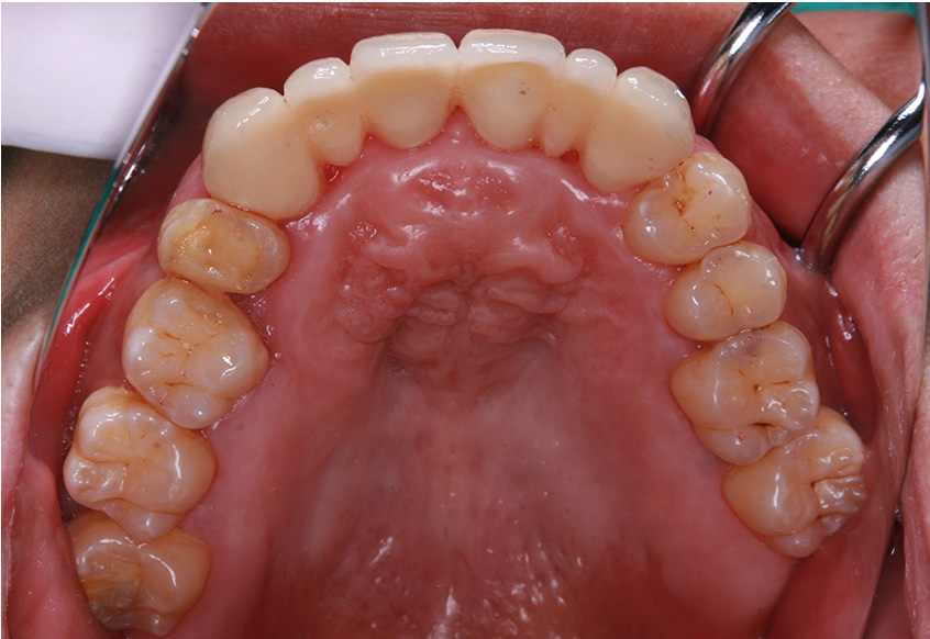
6ヵ月経過すると、矯正治療を終了し、前歯に被せ物の治療を行いました。
最初のお口の中 2025/3/22 



被せ物装着 

当院では、歯並びが気になる人に対して、矯正治療を行っています。また今回の症例のようにワイヤーを用いた治療からマウスピース矯正治療も行っておりますので、スタッフにお声かけください。
治療の概要
| 患者属性 | 30代男性、歯科恐怖症 |
|---|---|
| 主訴 | 上の前歯の歯並びを整えたい |
| 診断 | 歯列不正、う蝕歯 |
| 矯正装置 | 矯正ブラケットとワイヤー |
| 治療期間 | 約6ヵ月 |
| 通院回数 | 8回 |
| 治療費 | 矯正:基本料金(220,000円)+調整料(5,500円×6回)、補綴治療:72,600円、費用は税込 |
| 治療内容 | 上顎側切歯を2本抜歯した後、上顎の歯にブラケットを装着し、ワイヤー、矯正用ゴムで歯の移動を行いました。その後、被せ物の治療を行って治療を終了しています。 |
| リスクと副作用 | 矯正治療
補綴治療
|
